About Our Clinic

Ha Dental is inspired by the Japanese philosophy of precision and simplicity, delivering high-quality dental care with consistency. We empower clinics through a trusted brand and a strong operational foundation.

Our Story

A Legacy of Trust & Excellence in Dental Care

Founded in 2009, HA Dental Care has been at the forefront of providing exceptional dental services in Jaipur. What started as a small clinic with a vision to transform smiles has grown into one of the most trusted dental care centers in the region.

Ha Dental derives its name from the Japanese word “Ha”, meaning “tooth” — a simple yet powerful representation of its core focus on oral healthcare. Inspired by Japanese principles of precision, cleanliness, and minimalism, Ha Dental reflects a commitment to delivering essential and high-quality dental care with consistency and attention to detail.

 

Ha Mission

Ha Vision

Awards & Recognition

Recognized for Excellence

Our commitment to quality care has been acknowledged by leading healthcare
organizations

Excellence in Patient Care

Awarded for Excellence in Patient Care, 2023

Best Dental Clinic

Awarded at Jaipur Healthcare Awards 2024 for clinical excellence.

Advanced Technology Adoption

Advanced Technology Adoption – 2023

Top Rated Dental Clinic

Top Rated Dental Clinic – 2025
Based on outstanding Google Reviews and patient trust.

Our Achievements

Numbers That Speak for Us

Over the years, we have achieved remarkable milestones in dental care excellence

Years of Experience
0 +
Happy Patients
0 +
Procedures Done
2000 +
Success Rate
0 %

Why Trust HA Dental Care?

We go above and beyond to ensure you receive the best dental care experience

Expert Team

Our team consists of highly qualified specialists with years of
experience in various dental fields.

Modern Equipment

We use state-of-the-art dental technology including digital X-rays,
3D imaging, and laser dentistry.

Patient-First Approach

Your comfort and satisfaction are our top priorities. We listen to your
concerns and customize treatments.

Sterilization Standards

We follow strict international sterilization protocols to ensure your
safety and prevent cross-contamination.

Flexible Scheduling

We offer convenient appointment times including evenings and
weekends to fit your busy lifestyle.

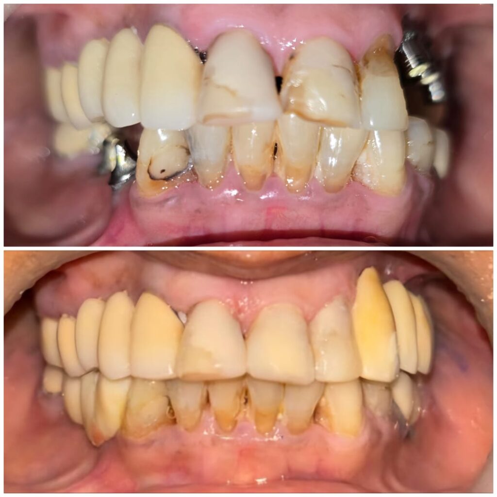
Real Results

Before & After Transformations

See the incredible smile transformations our patients have achieved

Book Your Appointment Today

Experience world-class dental care with our expert team. Your smile transformation journey starts here.